Hiperdoncija označava pojavu jednog ili više prekobrojnih zuba, odnosno dodatnih zubi izvan uobičajenog broja. Djeca inače imaju 20 mliječnih zuba koje kasnije zamjenjuje 32 trajna zuba, pa svaki zub preko tog broja smatra se suvišnim.
Takvi supernumerarni zubi mogu se pojaviti pojedinačno ili multiplo, u mliječnoj ili trajnoj denticiji. S druge strane, roditelji ponekad primijete “dvostruki zub” ili zub neobičnog izgleda koji izgleda kao da su dva zuba srasla u jedan.
Osoba se može roditi i s nedostatkom zuba (ili više njih), odnosno kasnije imati 31 trajni zub umjesto 32. To je zapravo češće nego što ljudi misle. Takva pojava naziva se hipodoncija.
Što je hiperdoncija i zašto nastaje?
Hiperdoncija je razvojna anomalija zuba kod koje se javlja veći broj zubi nego što je normalno. Ti prekobrojni zubi mogu nalikovati normalnim zubima, iako često odstupaju oblikom ili veličinom od ostalih zuba.
Najčešće se pojavljuju u gornjoj čeljusti, čak 95% slučajeva zabilježeno je u maksili. Prema statistici, hiperdoncija je rijetka pojava (od 0,1% do najviše oko 3,8% u trajnoj denticiji, a manje od 1% u mliječnoj) i dvostruko je češća u dječaka nego u djevojčica.
Uzroci hiperdoncije nisu u potpunosti razjašnjeni. Smatra se da genetika ima veliku ulogu, često se javlja u sklopu određenih genetskih sindroma.
Ipak, može se pojaviti i kod potpuno zdravog djeteta, bez drugih poremećaja, kao izolirana anomalija. Jedna teorija objašnjava hiperdonciju kao posljedicu prekomjerne proliferacije (pretjeranog “bujanja”) stanica zubne liste tijekom razvoja zubi. Također se razmatra i atavizam, naslijeđeni evolucijski “višak”, budući da su davni preci čovjeka imali više zuba (čak 44) pa se ta sklonost ponekad može genetski provući.

U praksi, često se radi o sporadičnoj pojavi, pri čemu u obitelji nema ranijih slučajeva, no ako jedno dijete ima prekobrojni zub, povećana je vjerojatnost da će i druga djeca u obitelji imati sličan problem.
Prekobrojni zub može imati oblik normalnog zuba, tada ga zovemo “dopunski” zub, jer izgleda kao duplicirani susjedni zub. Češće je, međutim, da je suvišni zub rudimentaran: neobičnog oblika (npr. stožastog, konusnog) i manji, bez prave funkcije. Ponekad se dodatni zub može razviti u obliku odontoma, benignog zubnog tumora građenog od zubnih tkiva.
Prema lokaciji, najčešće razlikujemo:
- Međuzub (mesiodens), prekobrojni zub koji se pojavljuje u sredini gornje čeljusti, između dvije gornje jedinice (središnja sjekutića). Oko 75% svih dodatnih zuba upravo su međuzubi, što ga čini daleko najčešćim tipom hiperdoncije.
- Paramolar, suvišni zub uz neki kutnjak (molara), obično manji i deformiran.
- Distomolar, dodatni “peti umnjak”, koji izbija iza zadnjeg kutnjaka (umnjaka).
Prekobrojni zubi mogu biti izniknuti (eruptirani), vidljivi u ustima, ili neizniknuti (impaktirani) i sakriveni ispod desni ili u kosti čeljusti. U nekim slučajevima hiperdoncija u jednoj čeljusti prati se s nedostatkom zuba u suprotnoj čeljusti (hipodoncijom), kao da postoji neuravnoteženost. No to je relativno rijetka pojava.
Međuzub (mesiodens), mali zub viška među sjekutićima
Mesiodens je naziv za najčešći prekobrojni zub koji se razvije točno u liniji sredine, između gornjih sjekutića (“jedinica”). Obično je to mali stožasti zub (rudimentarnog oblika) koji može ostati skriven u kosti ili izniknuti iza ili između sjekutića.
Roditelji ga ponekad primijete kao “mali zubić viška” iza dječjih prednjih zuba, ili se posumnja na njega ako jedan od trajnih sjekutića kasni s nicanjem.
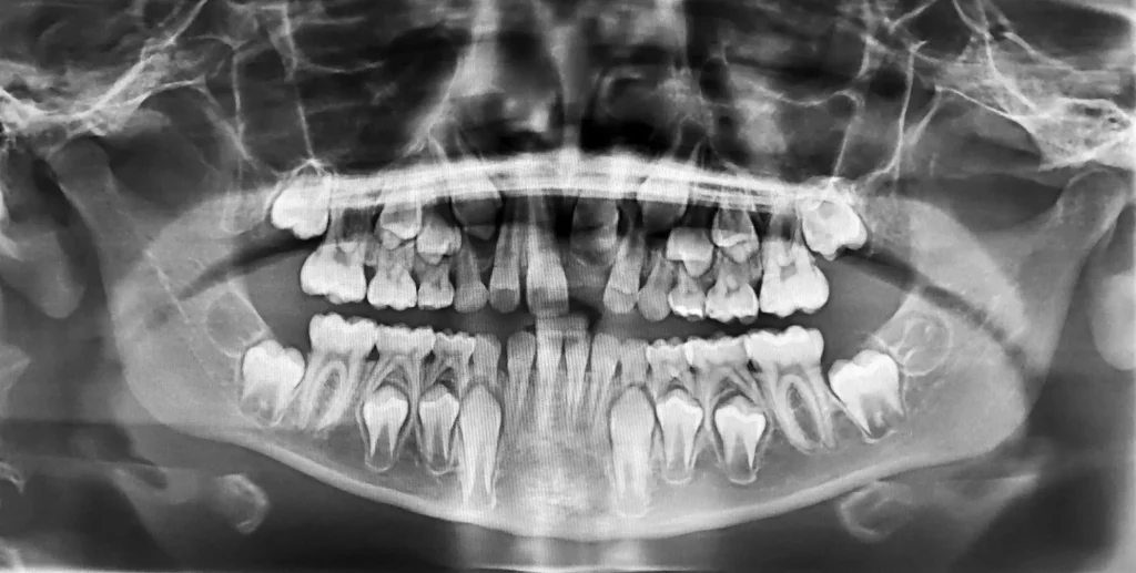
Mesiodens se može javiti i u mliječnoj i u trajnoj denticiji, ali češći je u trajnim zubima. Često ostane neizniknut (impaktiran), čak oko 79 do 91% slučajeva mesiodensa ne izbije spontano u usta. Upravo zato, mesiodens se najčešće otkriva na rendgenskoj snimci (ortopanoramskoj ili na maloj dentalnoj snimci) prije nego što ga vidimo u ustima.
Ako nikne, mesiodens se obično pojavi na neobičnom mjestu (npr. iza gornjih sjekutića na nepčanom području). Često u dobi kad niču i ostali prednji trajni zubi (6 do 7. godine). Izgledom može biti šiljast ili konusnog oblika.
Zbog svoje pozicije mesiodens može uzrokovati vidljivo razmicanje prednjih zuba ili njihovo nepravilno naginjanje.
U nekim izuzetno rijetkim slučajevima, dodatni zub zna zalutati i prema nosnoj šupljini. Takvi slučajevi mogu izazvati smetnje disanja kroz nos, ali ponavljamo, to je vrlo rijetko.
Dvostruki zubi kod djece (geminacija i fuzija)
Roditelji katkad opisuju da dijete ima “dupli zub”, najčešće se radi o prednjem mliječnom zubu koji izgleda povećano ili kao da su dva zuba spojena.
U dentalnoj medicini razlikujemo dvije slične pojave: geminacija i fuzija.
Obje spadaju u tzv. dvostruke zube, ali postoji razlika u nastanku:
Geminacija
Također zvana dvoglavi zub, događa se kada se jedan zubni zametak pokuša podijeliti na dva dijela. Rezultat je jedan veći zub (često s udubljenjem ili “razdjeljkom” na kruni) koji ima jedan korijen i jednu zubnu pulpu, ali kruna djelomično izgleda kao dvije spojene. Broj zuba je normalan (jer taj veliki zub računamo kao jedan).
Fuzija (srasli zub)
Nastaje kada se dvije odvojene zubne osnove spoje u jedan zub tijekom razvoja. Takav zub često ima dvije pulpe ili dva korijena spojena u jednu krunu. Fuzija obično dovodi do toga da dijete ima jedan zub manje nego inače u toj čeljusti (jer su se dva zametka spojila u jedan zub).
Oba tipa najčešće se događaju u mliječnim zubima, i to u prednjem dijelu čeljusti (sjekutići i očnjaci). Procjenjuje se da oko 0,5% djece ima barem jedan dvostruki mliječni zub.
Geminacija i fuzija nisu uzrokovane karijesom ili vanjskim utjecajem, već su razvojna anomalija. Točan uzrok nije poznat. Mogući čimbenici uključuju genetsku sklonost ili slučajnu razvojnu “grešku”.
Zanimljivo je da dvostruki zubi nešto češće nalazimo kod blizanaca i višestrukih trudnoća, što sugerira i neku genetsku komponentu.
Kako prepoznati dvostruki zub? Najčešće se u ustima vidi jedan veći zub koji može imati blagu brazdu ili udubinu na griznoj plohi, kao da je kruna podijeljena. Primjer je spajanje dva mliječna sjekutića. Dobijemo jedan široki “dvojni” sjekutić koji može imati mali urezić na sredini.
Roditelji to primijete jer taj zub odskače veličinom od ostalih. Ponekad djeluje kao da dijete ima zub viška, no prebrojavanjem zubi vidi se da je ukupan broj zapravo normalan ili manji.
Stomatolog rendgenskom snimkom može utvrditi radi li se o geminaciji ili fuziji, jer na RTG-u geminirani zub ima jedan korijen/pulpu, a fuzionirani ima dvije odvojene pulpe ili korijena.
Dvostruki mliječni zubi su uglavnom bezbolni i funkcionalno ne smetaju djetetu pri žvakanju. No mogu izazvati neke probleme i često su skloni karijesu zbog utora i brazdi gdje se zadržavaju bakterije.
Također, mogu uzrokovati blagu nepravilnost zagriza ili gužvanje susjednih zuba jer zauzimaju više mjesta nego što je predviđeno. Najvažnije, dvostruki zubi u mliječnoj denticiji mogu biti znak da će i trajni zubi imati anomaliju.
Istraživanja pokazuju da oko 61% djece s dvostrukim mliječnim zubom razvije neku nepravilnost trajnih zuba (najčešće nedostatak jednog trajnog zuba, rjeđe višak). Na primjer, ako su djetetu srasla dva mliječna sjekutića, često se dogodi da kasnije nedostaje jedan trajni sjekutić koji je trebao naslijediti jedan od tih mliječnih zuba.
S druge strane, kod geminacije mliječnog zuba, može se dogoditi da trajni zub postoji, ali se pojavi i dodatni trajni zub. Zato je vrlo važno da stomatolog prati dijete s dvostrukim zubom kroz redovite kontrole i snimke, kako bi na vrijeme otkrio eventualno nedostajanje ili višak trajnih zuba i isplanirao terapiju.
Kako prepoznati prekobrojne i dvostruke zube?

Rano otkrivanje ovih anomalija ključno je za uspješno liječenje. Stomatolog će već kliničkim pregledom posumnjati na problem ako opazi neobičan zub ili ako uoči da neki zub nedostaje ili kasni s nicanjem.
Za potvrdu, standardno se koristi RTG dijagnostika.
Rendgen zuba (ortopantomogram)
Ovo je često je prvi korak, jednom snimkom cijele čeljusti može se vidjeti postoji li skriveni zub u kosti i kakav je položaj njegovog korijena.
Preporuka je napraviti prvu panoramsku snimku oko 6. do 7. godine.
Lokalizirane zubne snimke
Na takvoj snimci može se razlučiti ima li prekobrojni zub zaseban korijen, kako je okrenut, te kod dvostrukog zuba koliko korijena ili pulpi ima.
3D snimanje (CBCT)
Rijetko se koristi, ali može biti od pomoći u složenijim slučajevima. Primjerice, ako je potrebno kirurški odstraniti zub blizu važnih struktura, 3D prikaz pomaže preciznom planiranju.
Vrijeme otkrivanja
Hiperdoncija se često dijagnosticira u ranom djetinjstvu ili predškolskoj dobi. Mesiodens se najčešće otkrije u dobi do 7. godine (prilikom nicanja trajnih sjekutića), no ponekad i ranije, ako se napravi snimka zbog drugih razloga.
Dvostruki mliječni zub vidljiv je čim iznikne (obično već oko 1 do 3. godine, kad niču prednji mliječni zubi). Roditelji koji to primijete trebaju obavijestiti stomatologa. On će obično načiniti kontrolnu snimku trajnih zametaka oko 5. ili 6. godine djeteta da provjeri stanje.
Važno je ne mijenjati hiperdonciju sa slučajevima zakašnjele izmjene zuba. Primjerice, ponekad roditelji vide da trajni zub niče prije nego što je mliječni ispao (često donji sjekutići). To nije hiperdoncija, već normalan trajni zub koji je izrastao malo izvan mjesta dok mliječni zub nije ispao.
Moguće komplikacije ako se ne liječi
Iako sam dodatni zub obično ne uzrokuje bol, neliječena hiperdoncija može dovesti do niza komplikacija u razvoju djetetovih usta:
- Prekobrojni zub često stoji na putu trajnom zubu i sprječava ga da nikne u pravom položaju. To može rezultirati time da trajni zub ostane impaktiran (neizniknut) ili da izbije van lukova, recimo visoko u gingivi.
- Dodatni zub može gurati druge zube u stranu, uzrokujući rotaciju ili zbijanje zuba. Često mesiodens uzrokuje pomicanje središnje linije. Prednji zubi više nisu simetrično postavljeni.
- Nepravilan položaj zuba uslijed hiperdoncije može dovesti do problema u zagrizu. Gornji i donji zubi se ne slažu pravilno, što može utjecati na žvakanje i govor.
- Vidljiv višak zuba (osobito u prednjoj regiji) ili razmaci koje on uzrokuje mogu estetski smetati. Dijete može biti nesigurno zbog izgleda zuba. Također “dvostruki” zub u osmijehu može privlačiti pažnju i izazvati pitanja vršnjaka.
- Dodatni ili spojeni zubi stvaraju teže dostupne prostore za čišćenje. To pogoduje nakupljanju plaka i može dovesti do karijesa na sebi ili susjednim zubima te do upale desni (gingivitisa) oko tog mjesta. Kod dvostrukih zuba brazda na kruni često predstavlja idealno mjesto za razvoj karijesa ako se ne zaštiti.
- Neizniknuti (impaktirani) suvišni zub može uzrokovati stvaranje ciste oko svoje krune, tzv. dentigerozne ciste, ispunjene tekućinom. One inicijalno ne moraju davati simptome, ali ako rastu mogu oštetiti kost ili korijene susjednih zuba te izazvati oteknuće.
- Vrlo rijetko, ako su prednji zubi zbog anomalije jako razmaknuti ili nepravilnog položaja, dijete može imati poteškoća s izgovorom pojedinih glasova (S, Z, C).
- Dijete može postati svjesno da “nešto nije u redu” s njegovim zubima i osjećati sram ili nelagodu, odbijati se smijati pokazujući zube, pogotovo u školskom uzrastu.
Srećom, uz pravovremenu dijagnozu i terapiju, većina ovih komplikacija se može spriječiti ili uspješno sanirati.
Liječenje: što može stomatolog učiniti?
Plan liječenja ovisit će o konkretnom slučaju, broju i položaju prekobrojnih zuba, dobi djeteta, te o tome uzrokuje li anomalija probleme.
Glavne opcije su:
- Praćenje (konzervativni pristup)
- Ortodontska terapija
- Sanacija i zaštita zuba
Pratite rast zubića svog djeteta, potičite ih na održavanje higijene i posjećujte stomatologa dvaput godišnje. Tako ćete najbolje čuvati zdravlje njihovih zubi i osmijeha.



