Izbjeljivanje zubi – Metode i tehnike za uspješan i predvidljiv rezultat
Usluga izbjeljivanja zubi je sastavni dio svake ordinacije. S našim educiranim higijeničarima, dolazimo do odličnih rezultata s lakoćom i ispunjavamo očekivanja svakog pacijenta. Prethodni vikend smo sudjelovali na izvanrednoj edukaciji gdje smo usvojili nove tehnike i time upotpunili svoje znanje i vještine. Upoznali smo sve metode izbjeljivanja, kako ih unaprijediti i kako postići još bolje rezultate. Vaš osmijeh je naša briga, a tome smo potpuno posvećeni!
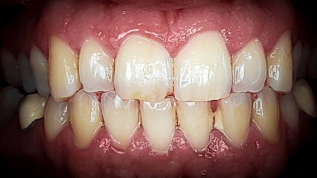
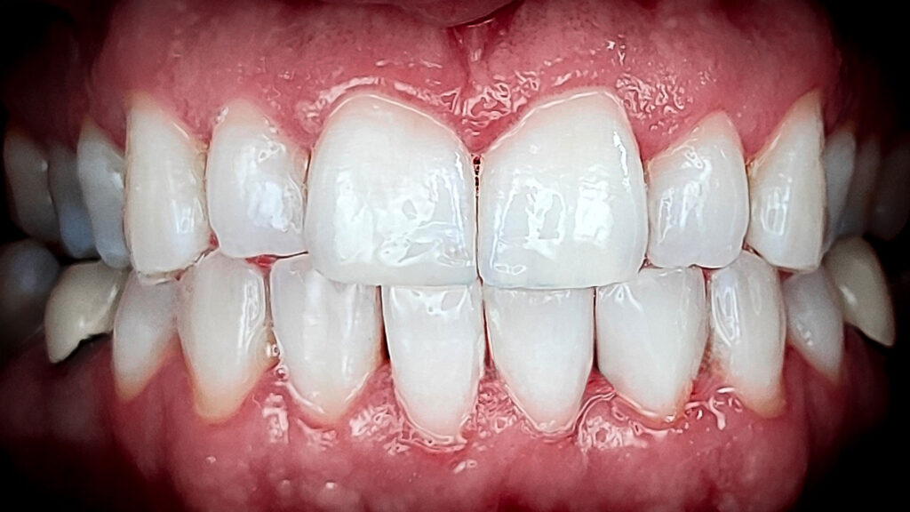
Izbjeljivanje zubi prije i poslije
Rezultati izbjeljivanja zubi mogu biti zapanjujući. Naši pacijenti često dijele svoje fotografije prije i poslije tretmana, pokazujući dramatičnu promjenu u boji i izgledu svojih zubi. Bijeli zubi ne samo da izgledaju lijepo, već i daju osjećaj svježine i zdravlja.
Prije tretmana, zubi mogu biti obojeni zbog konzumacije kave, čaja, crnog vina, cigareta ili jednostavno zbog starenja. Nakon tretmana, zubi postaju nekoliko nijansi svjetliji, što odmah poboljšava izgled vašeg osmijeha.


Izbjeljivanje zubi je siguran i učinkovit način za postizanje svjetlijeg i ljepšeg osmijeha. U Dental Centru Ostojić, naš cilj je pružiti Vam najbolju moguću uslugu koristeći najnovije tehnologije i tehnike. Ako želite saznati više o izbjeljivanju zubi i kako Vam možemo pomoći da postignete osmijeh iz snova, kontaktirajte nas danas i zakažite konzultaciju.
Zaslužujete osmijeh koji će Vas činiti ponosnima, a mi smo ovdje da Vam pomognemo da ga postignete!




